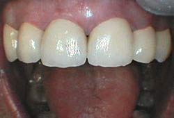
Smile makeover
Click here to go back to all the cases