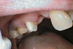
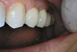
Need your lost teeth back - a bridge solution
Click here to go back to all the cases