Single crown solution
It's all about the framework
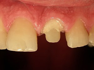
Photo of a tooth prepared for a crown
PFM (porcelain fused to metal) - standard crown with a stainless steel coping

Here you can see a metal coping where porcelain will be be fired on

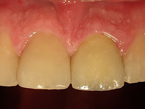
The outcome - crown seated in mouth
Porcelain fused to cyrconium oxide framework

Cyrconium oxide is a ceramic material that gives the strenght that could not be found in any other ceramic system. The Cercon coping is almost as firm as metal, it's colour is simillar to a tooth structure colour and it's fully biocompatible - non alergic. This material gives possiblity to make 5 units bridge as reliable and durable as standard PFM bridge.

Final crown - porcelain fired on cercon
Porcelain fused to galvano-gold coping

Galvano framework fits on a tooth like a glove on a hand. There is no material nor technical system that could beat the precission of galvanoforming. This coping gets it's final shape with no touch of a human hand. It's just pure nature - gold particles condensate on a tooth model. This material is non alergic and it possesses a stunnig ability to destroy bacterias around its structure.

This is what we get - germs killer crown
Click here to go back to all the cases